ブログ
2015/12/11
ブログ
インプラントについて知ろうーその38 インプラントの敵?含気化ー
クリスマスまであと2週間、そしてよしなか歯科クリニックの
クリスマス会まではあと1週間ほど、私やスタッフたちも楽しみにしております!
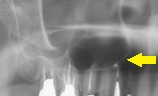
鼻腔と口腔は上顎によって隔たれているのですが、上の奥歯には
上顎洞という副鼻腔に分類される空洞があります。
これは臼歯部と眼の間にある空洞なのですが、これが加齢によって
上顎洞が大きくなっていくことがあります。
これを含気化(Pneumatization)と呼びます。
上顎洞が大きくなっていくと結果的には上顎の骨(歯槽骨)が
薄くなっていきますので、いざインプラントをしたい、となった場合に
骨が足りないということも起こっていくることになります。
ほとんどの方(インプラントをされない方のレントゲンを見ても)に
含気化と呼ばれる現象が見られるのですが、厄介なことにこの現象は
歯を失っても失っていなくても生じるという報告もあります。
インプラントを確実に行うためにオプションの手術が必要になってくる
所以です。
次回は骨増成のお話となります。
RECOMMEND
関連記事


